Invitro & Invivo Diagnostic

UK’s MYndspan Partners with MEGIN to Expand Access to High-Precision Brain Scans

Collaboration brings clinical-grade magnetoencephalography (MEG) technology to consumers, launching first brain health center in London....

Addiction Prevention Coalition and DisposeRx Expand Opioid Education and Disposal Efforts in Alabama

The initiative strengthens opioid prevention across Alabama by providing communities with vital education and at-home medication disposal solutions to reduce misuse and accidental overdoses....

Allwin Medical Devices and Esco Forge Strategic Partnership to Strengthen IVF Solutions and Expand Global Reach

The collaboration enhances Esco's IVF instrument portfolio with Allwin's consumables, offering a comprehensive solution for IVF clinicians and embryologists while expanding market presence in India....

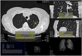
ParagonCare Partners with Coreline Soft to Advance AI-Powered Lung Cancer Screening in Australia

Strategic collaboration introduces Coreline Soft’s AI-driven imaging solutions to enhance early lung cancer detection, supporting the National Lung Cancer Screening Program (NLCSP) in Australia....

Japan Approves Sarclisa-VRd for Newly Diagnosed Multiple Myeloma Patients

Regulatory green light follows IMROZ Phase 3 study results showing significant progression-free survival benefit...

EMA Approves Takeda’s TAKHZYRO Pre-Filled Pen for Subcutaneous Administration in Adolescent and Adult HAE Patients

The new 2 mL pre-filled pen option expands individualized treatment choices for hereditary angioedema (HAE) patients, reinforcing Takeda’s commitment to reducing disease burden and improving quality of life....

Ginkgo Bioworks Secures €24M EU Grant to Develop Rapid Next-Gen Sequencing for Respiratory Diagnostics

In collaboration with HaDEA and HERA, Ginkgo leads the RANGER project to create a point-of-care metagenomic sequencing device, aiming for 6-hour turnaround diagnostics to revolutionize pandemic preparedness and hospital triage across Europe. ...

UroMems Achieves Major Milestone in First-Ever Smart Implant Study for Female SUI Patientsv

With all female patients in its groundbreaking clinical feasibility study reaching six-month primary endpoints, UroMems' UroActive System marks a transformative step in treating stress urinary incontinence. The AI-powered smart implant, designed to enhance patient quality of life, is now paving the way for expanded adoption in the U.S. and Europe. ...

NaviFUS Leverages Taiwan’s Advanced Chip Technology to Advance Non-Invasive Brain Disorder Treatments

With groundbreaking ultrasound-based solutions for brain cancer and drug-resistant epilepsy, NaviFUS expands its global impact through strategic industry collaborations, clinical breakthroughs, and partnerships with leading healthcare innovators....

Zydus Lifesciences & Guardant Health Back India’s First Liquid Biopsy Academy to Advance Precision Oncology

LiS Academy, an independent academic forum led by top oncologists, aims to enhance awareness and adoption of liquid biopsies for personalized cancer care in India....