Medical Diagnostics

Vantive Transforms Vital Organ Therapies in Asia-Pacific

With a 70-year legacy as Baxter’s Kidney Care segment, Vantive, a global medtech leader in kidney care and acute therapies, reinforces its presence in Asia-Pacific with its manufacturing facility in Singapore ...

OSSIO Unveils Small OSSIOfiber® Suture Anchors to Enhance Soft Tissue Fixation

Expanded bio-integrative, metal-free implant line aims to improve outcomes in orthopedic and sports medicine procedures...

Australian Company Launches World’s First Smart Hearing Implant System

Groundbreaking innovation redefines hearing care with intelligent, connected implant technology...

NIPRO Unveils Next-Gen RO Dialysis Water Purification System at ERA 2025

Advanced system aims to enhance dialysis safety, efficiency, and water purity for improved patient outcomes...

Canadian Hospital System Implements Sectra’s AI Service to Enhance Radiology and Patient Care

AI integration aims to streamline imaging workflows, boost diagnostic efficiency, and improve clinical outcomes across the network...

SDP Japan Secures $31 Million in Series D Funding

New capital to accelerate growth, innovation, and global expansion in precision medicine and diagnostics ...

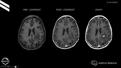
AiMIFY™ AI MRI Software Earns CE Mark, Backed by Bracco and Subtle Medical

AI-powered solution aims to improve image quality and efficiency in MRI workflows across Europe...

HekaBio Partners with Alfresa to Expand MedTech and Biopharma Access

Strategic alliance to enhance distribution and innovation in Japanese healthcare market...

GE HealthCare Unveils MIM Encore™ to Advance Precision Care in Medical Imaging

Next-generation digital imaging and workflow platform enhances clinical efficiency and personalization across oncology, neurology, and radiology practices....

Gene Solutions, Topgen Unite to Advance Precision Oncology in China

Strategic collaboration aims to expand access to advanced genomic testing and personalized cancer care for broader patient populations nationwide....