Medtech

Olympus Demonstrates New AI Endoscopy Solution at DDW®

The OLYSENSE Platform Aims to Strengthen Clinical Decision-Making by Leveraging Cloud-based Connectivity and AI Computing...

HemoSonics Wins 2025 Medical Device Network Excellence Award in Marketing Category

Award recognizes HemoSonics’ impactful marketing and ability to communicate the value of its Quantra Hemostasis System, which provides comprehensive blood analysis detailing hemostasis in the operating room in less than 15 minutes ...

GammaPod Introduces Single-Session High-Dose Stereotactic Radiotherapy for Breast Cancer in Europe

A new technology marks a turning point in the treatment of early-stage breast cancer ...

Leading U.S. Cancer Center Selects Sectra for Integrated Diagnostics and Enhanced Patient Care

Adoption of Sectra's enterprise imaging solution aims to streamline workflows and boost collaboration in oncology diagnostics....

Avant Technologies and Ainnova Request FDA Pre-Submission Meeting for VisionAI Platform

Companies seek guidance on clinical trial design for AI-driven diabetic retinopathy detection, aiming for 510(k) clearance to enter U.S. market....

Nature Communications Medicine Publishes Positive Data for Lenire® Tinnitus Device

Retrospective study from Alaska Hearing & Tinnitus Center shows 91.5% responder rate and significant improvement in Tinnitus Handicap Inventory scores after 12 weeks of treatment....

TheraLight Introduces the New TheraLight FIT

Compact design and standard voltage compatibility bring professional-grade photobiomodulation therapy to more wellness centers and clinics nationwide. ...

HeartcoR Partners with Wellysis to Offer S-Patch Wearable ECG for Clinical TrialsHeartcoR Partners with Wellysis to Offer S-Patch Wearable ECG for Clinical Trials

This milestone partnership supports the mission of both organizations to improve clinical trials through advanced medical technology. ...

Healthy.io Acquires Labrador Health

Advancing the Future of At-Home Kidney Diagnostics ...

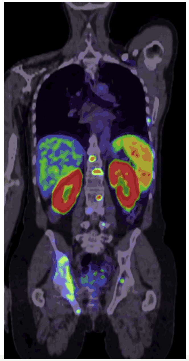
Telix's Illuccix PSMA-PET Imaging Agent Approved in France

New approval provides French hospitals and clinics with access to a proven PSMA-PET imaging agent ...